Skip to main content

Houston Personal Injury Attorney Blog

Explore Our Articles for Expert Legal Insights

Welcome to the Mukerji Law Blog, where we share insights on how we fight for justice with compassion and determination. No matter the size of the challenge, we are committed to going the distance for our clients, providing expert legal guidance and unwavering support every step of the way. Check out the latest Houston Personal injury Attorney news below.

How Trampoline Injuries Usually Occur - Mukerji Law

How Trampoline Injuries Usually Occur

It is not hard to find children who are eager for the chance to jump on a trampoline for the first time, and it is usually parents who are the reason some children never take part in this activity. The fear that parents have is not unreasonable, as there are 98,000 injuries every year that can be directly attributed to the use of a trampoline. The way in which these accidents occur is n…
Hurt Playing Sports: You May Be Able To Sue - Mukerji Law

Hurt Playing Sports: You May Be Able To Sue

Those who enjoy playing sports often assume they can’t file a lawsuit if they’re injured because of the assumed risk that comes with these activities. The main aspect of this event for individuals to examine is the cause of the injury. If a source besides the act of taking part in the activity itself is determined to be the cause of the injury than injured persons often have a strong ca…
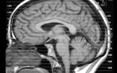
Head Injuries: What Actually Happens To Your Brain - Mukerji Law

Head Injuries: What Actually Happens To Your Brain

Almost 2 million people are rushed to emergency rooms every year because of head injuries. Examinations done by medical professionals reveal that most of these injuries result in concussions that affect the way a person processes and recalls information, as well as causing severe headaches. What most people want to really know is what actually happens to the brain after an injury, and this…
How To Hire The Right Attorney If Your Child Is Injured - Mukerji Law

How To Hire The Right Attorney If Your Child Is Injured

When a parent has an injured child they are often under a great deal of stress, and what can make this stress even greater is when the parent undertakes the task of searching for a personal injury attorney. The sheer number of choices can make this search seem almost impossible, but there are a few ways parents can make sure they make the right choice when selecting legal representation…
Should I File A Lawsuit If My Child Was Injured On Playground Equipment? - Mukerji Law

Should I File A Lawsuit If My Child Was Injured On Playground Equipment?

When parents allow their children to use playground equipment they understand that there is some inherent risk involved with this type of activity. It is when an injury occurs that could have been avoided that parents should begin thinking about filing a lawsuit as a means to recover damages. The first thing parents will need to do is determine if they’re eligible to file a case, and th…
12 Children Injured When A Texas School Bus Crashes And Lands On Side - Mukerji Law

12 Children Injured When A Texas School Bus Crashes And Lands On Side

Several students were injured when the driver of a Waxahachie ISD bus lost control. According to Texas State Troopers, the driver was distracted by an incident on the bus. He swerved off the road and overcorrected. The bus flipped on its side sending the children flying inside the bus. One child had to kick open the hatch, so the children could get out. 12 children were hospitalized with non-l…

Contact us for your free case consultation

Please let us know your first name.
Please let us know your last name.
Please let us know your phone number. i.e. 123-456-7890
Please let us know your email address.
Please let us know your message.